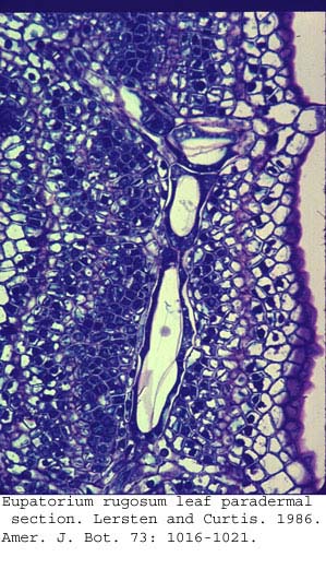
Secretory Cavities and Canals / anat0760
Curtis, Lersten, and Nowak
2002

Previous Home Next

anat0760

Link to UWSP content disclaimer page