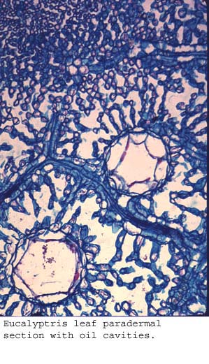
Secretory Cavities and Canals / anat0774
Curtis, Lersten, and Nowak
2002

Previous Home Next

anat0774

Link to UWSP content disclaimer page