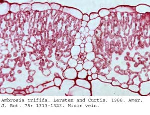
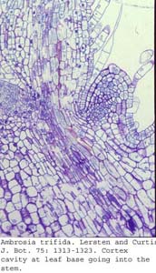
Secretory Cavities and Canals
Curtis, Lersten, and Nowak
2002
Previous page 3 of 6 Next

anat0692 anat0693 anat0694 anat0695 anat0696 anat0697 anat0698 anat0699 anat0700 anat0701 anat0702 anat0703 anat0704 anat0705 anat0706 anat0707 anat0708 anat0709 anat0710 anat0711 anat0712 anat0713 anat0714 anat0715 anat0716